Thành phần môi trường nuôi cấy: kháng sinh và kháng nấm – bạn hay thù?
- Kháng sinh và kháng nấm có tác dụng ngăn ngừa/ức chế sự phát triển của mycoplasma, vi khuẩn, vi nấm trong quá trình nuôi cấy tế bào

- Cơ chế tác động của kháng sinh: ức chế tổng hợp thành tế bào (VD: penicillin), làm giảm tính thấm của màng tế bào (VD: amphotericin B), ức chế tổng hợp protein (VD: streptomycin)

---------
Việc sử dụng kháng sinh trong nuôi cấy tế bào đã và đang được nghiên cứu chuyên sâu và chứng minh những ảnh hưởng không tốt đến tế bào nuôi cấy:

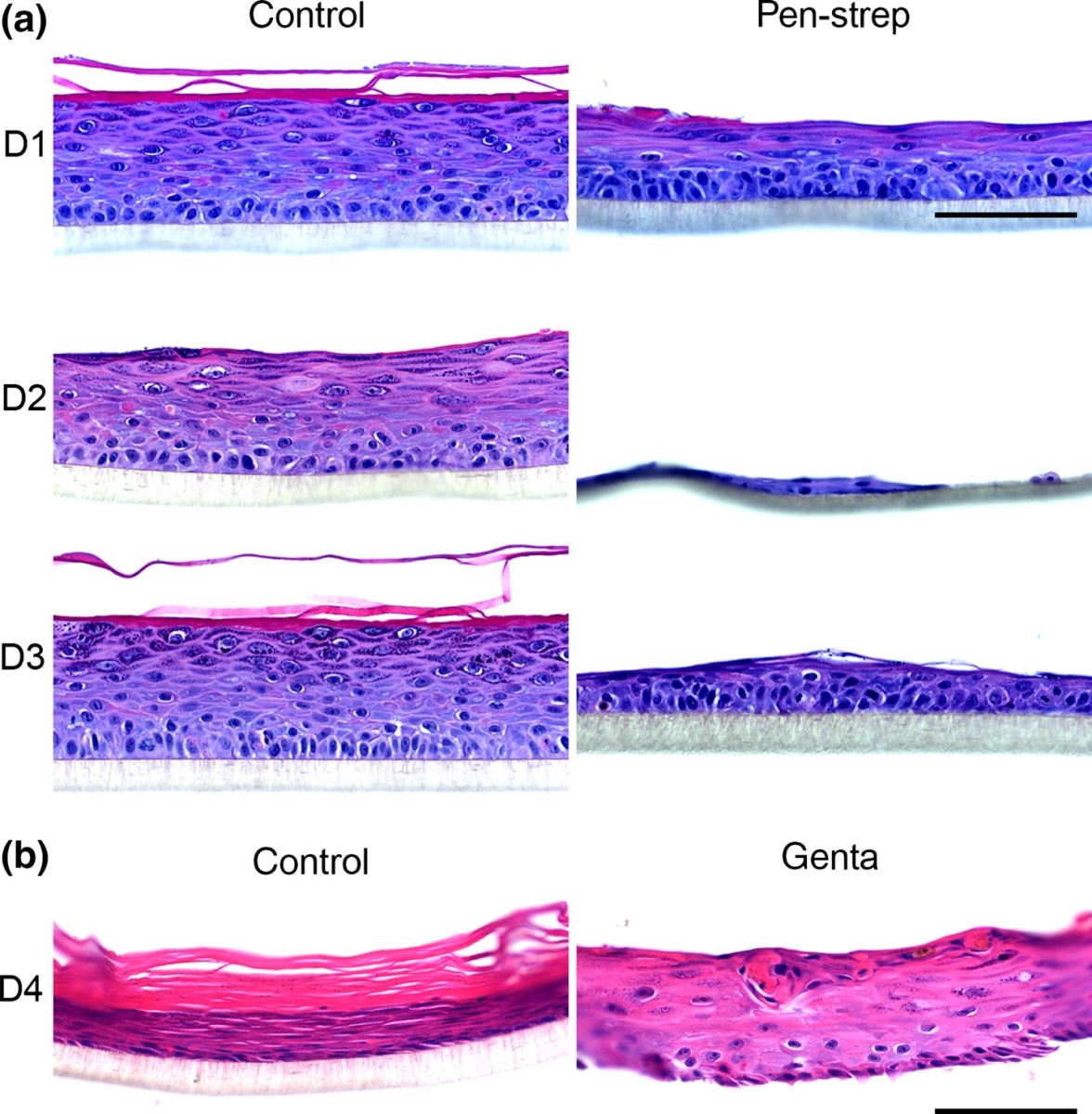
Nguồn: Nygaard et al, Experimental dermatology 2015.
- “Che giấu” sự nhiễm khuẩn: vi khuẩn có thể chỉ bị ức chế và vẫn tồn tại hạn chế trong môi trường nuôi cấy, làm thay đổi kết quả nghiên cứu và tâm lý chủ quan khi tuân thủ các nguyên tắc vô trùng trong thực hành nuôi cấy tế bào
- Tăng khả năng hình thành vi khuẩn kháng kháng sinh, tăng nguy cơ nhiễm vi sinh vật (VD: nhiều nghiên cứu chỉ ra rằng sử dụng nhiều loại kháng sinh trong nuôi cấy làm tăng nguy cơ nhiễm mycoplasma)
- Đặc biệt, các chất kháng sinh và kháng nấm làm thay đổi sự biểu hiện và điều hòa biểu hiện gen, ảnh hưởng đến khả năng tăng sinh, biệt hóa, sống sót và tính ổn định di truyền của tế bào nuôi cấy.
---------
TÀI LIỆU THAM KHẢO
1. Farzaneh M. (2021). Concise review; effects of antibiotics and antimycotics on the biological properties of human pluripotent and multipotent stem cells. Current Stem Cell Research & Therapy, 16(4), 400-405.
2. Nygaard U. H., et al. (2015). Antibiotics in cell culture: friend or foe? Suppression of keratinocyte growth and differentiation in monolayer cultures and 3D skin models. Experimental dermatology, 24(12).
3. Llobet L., et al. (2015). Side effects of culture media antibiotics on cell differentiation. Tissue Engineering Part C: Methods, 21(11), 1143-1147.
4. https://www.thermofisher.com/vn/en/home/references/gibco-cell-culture-basics/biological-contamination.html